Email:
smile@geladaris-dent.gr
Συχνές ερωτήσεις
Κλείστε ραντεβού / Επικοινωνία
Toggle navigation
ΑΡΧΙΚΗ
ΓΙΑΤΡΟΣ
ΚΛΙΝΙΚΕΣ
Κλινική Θεσσαλονίκης
Κλινική Κοζάνης
ΚΑΙΝΟΤΟΜΙΑ
Συνδυασμός 2 ειδικοτήτων
Άμεση φόρτιση
Οδοντιατρική 4 χειρών
Εργαστήριο
Αίθουσα αποστείρωσης
Αναισθησία
Ψηφιακή ακτινογραφία /
φορητή μονάδα
Πλήρως ψηφιοποίημενο ιατρείο
ΥΠΗΡΕΣΙΕΣ
Προσθετική
Εμφυτευματολογία
Αισθητική οδοντιατρική
Γενική οδοντιατρική
Περιοδοντική θεραπεία
Μικρή χειρουργική στόματος
ΕΜΠΕΙΡΙΕΣ ΑΣΘΕΝΩΝ
ΠΡΙΝ ΚΑΙ ΜΕΤΑ
Στεφάνες
ΟΛΙΚΗ ΑΠΟΚΑΤΑΣΤΑΣΗ ΜΕ ΜΕΤΑΛΛΟΚΕΡΑΜΙΚΕΣ ΣΤΕΦΑΝΕΣ
ΜΕΤΑΛΛΟΚΕΡΑΜΙΚΕΣ ΣΤΕΦΑΝΕΣ ΑΝΩ ΓΝΑΘΟΥ
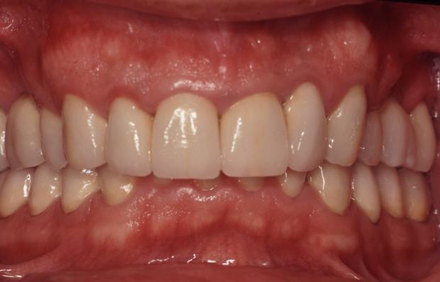
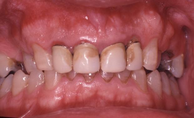
ΚΕΝΤΡΙΚΟΙ ΑΝΩ ΓΝΑΘΟΥ
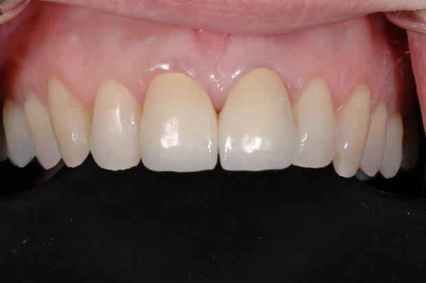
ΟΛΙΚΗ ΑΠΟΚΑΤΑΣΤΑΣΗ ΜΕ ΟΛΟΚΕΡΑΜΙΚΕΣ ΣΤΕΦΑΝΕΣ
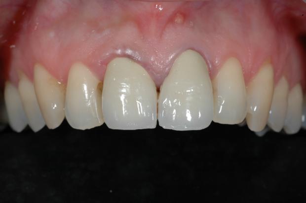
ΟΛΙΚΗ ΑΠΟΚΑΤΑΣΤΑΣΗ ΜΕ ΟΛΟΚΕΡΑΜΙΚΕΣ ΣΤΕΦΑΝΕΣ