Email:
smile@geladaris-dent.gr
Συχνές ερωτήσεις
Κλείστε ραντεβού / Επικοινωνία
Toggle navigation
ΑΡΧΙΚΗ
ΓΙΑΤΡΟΣ
ΚΛΙΝΙΚΕΣ
Κλινική Θεσσαλονίκης
Κλινική Κοζάνης
ΚΑΙΝΟΤΟΜΙΑ
Συνδυασμός 2 ειδικοτήτων
Άμεση φόρτιση
Οδοντιατρική 4 χειρών
Εργαστήριο
Αίθουσα αποστείρωσης
Αναισθησία
Ψηφιακή ακτινογραφία /
φορητή μονάδα
Πλήρως ψηφιοποίημενο ιατρείο
ΥΠΗΡΕΣΙΕΣ
Προσθετική
Εμφυτευματολογία
Αισθητική οδοντιατρική
Γενική οδοντιατρική
Περιοδοντική θεραπεία
Μικρή χειρουργική στόματος
ΕΜΠΕΙΡΙΕΣ ΑΣΘΕΝΩΝ
ΠΡΙΝ ΚΑΙ ΜΕΤΑ
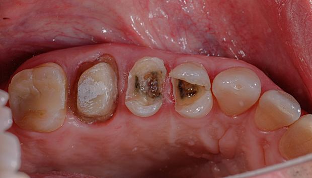
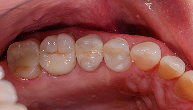
Άμεσες ολικές αποκαταστάσεις ρητίνης
Στεφάνη πορσελάνης-επένθετα ρητίνης