• Email: smile@geladaris-dent.gr
  • Συχνές ερωτήσεις
  • Κλείστε ραντεβού / Επικοινωνία
Logo
  • ΑΡΧΙΚΗ
  • ΓΙΑΤΡΟΣ
  • ΚΛΙΝΙΚΕΣ
    • Κλινική Θεσσαλονίκης
    • Κλινική Κοζάνης
  • ΚΑΙΝΟΤΟΜΙΑ
    • Συνδυασμός 2 ειδικοτήτων
    • Άμεση φόρτιση
    • Οδοντιατρική 4 χειρών
    • Εργαστήριο
    • Αίθουσα αποστείρωσης
    • Αναισθησία
    • Ψηφιακή ακτινογραφία /
      φορητή μονάδα
    • Πλήρως ψηφιοποίημενο ιατρείο
  • ΥΠΗΡΕΣΙΕΣ
    • Προσθετική
    • Εμφυτευματολογία
    • Αισθητική οδοντιατρική
    • Γενική οδοντιατρική
    • Περιοδοντική θεραπεία
    • Μικρή χειρουργική στόματος
  • ΕΜΠΕΙΡΙΕΣ ΑΣΘΕΝΩΝ
  • ΠΡΙΝ ΚΑΙ ΜΕΤΑ
  • Ακίνητες αποκαταστάσεις δοντιών
  • Ακίνητες αποκαταστάσεις εμφυτευμάτων
  • Συνδυασμός αποκαταστάσεων δοντιών & εμφυτευμάτων

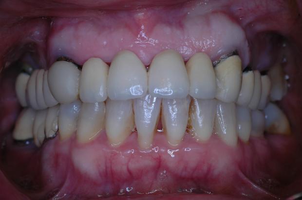
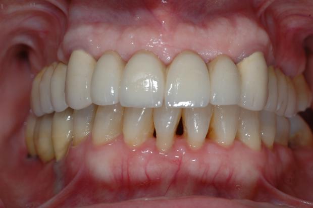
Ακίνητες αποκαταστάσεις δοντιών



...



before
after






Ο ΓΙΑΤΡΟΣ

Γιώργος Γελαδάρης
Χειρουργός Οδοντίατρος
Προσθετολόγος
Εμφυτευματολόγος

Πτυχ. Παν/μίου Maryland, ΗΠΑ
Επιστημονικός Συνεργάτης ΑΠΘ

ΟΙ ΚΛΙΝΙΚΕΣ

ΘΕΣΣΑΛΟΝΙΚΗ:
Μoργκεντάου 8, ΤΚ 546 22
T: 2310 244.884

ΚΟΖΑΝΗ:
Μακεδονομάχων 4, ΤΚ 501 00
T: 24610 22.300

ΕΠΙΚΟΙΝΩΝΙΑ

Για να επικοινωνήσετε με κάποια από τις κλινικές μας ή να κλείσετε ραντεβού συμπληρώστε την φόρμα επικοινωνίας.


Μπορείτε να επικοινωνήσετε απευθείας με τον γιατρό στο email smile@geladaris.gr.

website by Common Room

Όροι Χρήσης